HAVING STRAIGHT TEETH IS NOT ENOUGH TO GIVE A PERSON AN ATTRACTIVE SMILE.
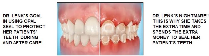
Dr. Lenk spends extra time and money on her patients to ensure they have a BEAUTIFUL AND HEALTHY SMILE following their orthodontic treatment. One of the way she does this is by using Opal Seal!
Opal Seal is a bonding agent AND a fluoride varnish. It creates a barrier between tooth enamel and plaque. It stays on the tooth until Dr. Lenk removes it from the teeth. While on the teeth it releases concentrated fluoride directly onto the tooth surface. AND THE MOST AMAZING FACT IS Opal Seal “recharges” every time it comes into contact with fluoridated materials i.e. fluoridated water and fluoridated toothpaste. THIS MEANS AS LONG AS IT IS ON THE TEETH IT PROTECTS THE TEETH.
Dr. Lenk uses Opal Seal on all teeth that either have a bonded brace or a bonded retainer because she wants to create beautiful and healthy smiles that stay beautiful and healthy forever!!!
Having straight teeth is not enough to give a person an attractive smile. All of us at Lenk Orthodontics, Inc. believe a beautiful smile is only possible if you have a healthy mouth.
We provide our patients with education and tools in order to give them the ability to establish and maintain a healthy smile (with and without braces).
Sometimes education and tools is not enough. This is why the office of Lenk Orthodontics, Inc. has incorporated the Opal Seal bonding system into our practice.

Opal Seal is a revolutionary new orthodontic primer from Opal Orthodontics. It is used to bond (glue) braces to the teeth. It is also used to help improve the health of patients’ enamel.
How Opal Seal works?
- Before placing a brace onto the tooth, Dr. Lenk applies a thin layer of Opal Seal to the entire front surface of the tooth.
- Just as its name implies, Opal Seal acts as a “seal” or barrier between enamel and plaque.
- Fluoride is an essential mineral, used for preserving and restoring the health of enamel. Opal Seal contains a high concentration of fluoride (38% filled with glass ionomer)
What makes Opal Seal special?
- Unlike other fluoride varnishes and bonding agents, Opal Seal is bonded to the tooth, thus releasing fluoride directly onto the tooth surface. It is not ingested by the patient, and it does not wear away within 24 hours like typical fluoride varnishes.
- Unlike other agents, Opal Seal ‘s fluoride composition is “recharged” every time it comes into contact with fluoridated materials i.e. fluoridated water and fluoridated toothpaste. This gives it the ability to protect teeth longer than 6-weeks, the average active life of similar products.
- Opal Seal is incorporated with glass ionomer filler and nano-fillers, giving it long-lasting strength. This helps decrease the chance for bond failure of braces during active orthodontic treatment (less emergency appointments)/
- Unlike typical fluoride varnishes, Opal Seal is stain resistant and does not discolor the tooth (turn it yellow).
- Opal Seal has fluorescent properties (it glows under a black light), making its reapplication and removal easy and convenient
Frequently Asked Questions:
- How long does Opal Seal last?
It generally remains on the teeth for several months.
- Do I still have to brush and floss with Opal Seal?
Opal Seal alone cannot protect your teeth. But when combined with proper oral hygiene, it can help your smile stay bright and healthy.
- Do I still need to get fluoride treatments at my dentist office even though I have Opal Seal on my teeth?
Yes. The Opal Seal product is only being applied to the surface of the tooth associated with your braces. The dentist’s fluoride treatment addresses all of the other surfaces of the teeth which are prone to decalcification. In addition, the fluoride treatment provided by your dentist will serve to recharge the Opal Seal product, making it even more effective in protecting your teeth around the braces.
- Does Opal Seal contain BPA?
BPA, or Bisphenol-A, is a potentially harmful chemical used in some plastic bottles, cans, and home electronics. Opal Seal contains no BPA.
Important Information for Dentists and Hygienists
Many dental professionals are not aware of the Opal Seal product. This is why we are providing you with information related to this wonderful new addition to our practice.
Please note: As of May, 2012, we began using Opal Seal on all patients having fixed appliances bonded to their teeth.
Opal Seal does not have a color. It does, however, have a texture. Standard prophylaxis and flossing should be enforced. In order to ensure the long-term protective benefits of the product, please ask all staff providing hygiene care and instructions to refrain from scraping the sealant from the teeth.
All of us at Lenk Orthodontics, Inc., are doing everything we can to ensure your patients have health, beautiful smiles. Please feel free to contact us at any time with questions or further suggestions regarding this important matter (oral health)!


