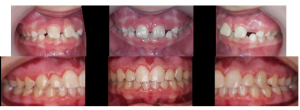
Benefits of early care: no dental trauma and beautiful teeth during adolescents!

Free exams…No referrals needed…

Competitive fees and family-friendly payment plans…

Work with all insurance companies…

Early detection prevents bigger problems…

www.lenkbraces.com…540-966-3990…lenkortho@gmail.com

Connect With Us

Call Us Text Us