After becoming a dentist, Dr. Lenk received 4 extra years of education to become an expert in the growth and development of the head and neck. Because of her extra education and experience, Dr. Lenk does not limit her scope of care to creating beautiful smiles—her goal is to facilitate normal development and to prevent bigger problems from occurring. A comprehensive approach like this ensures her patients have beautiful smiles and faces. It also helps minimize the complexity and cost of orthodontic care if and when it is desired!

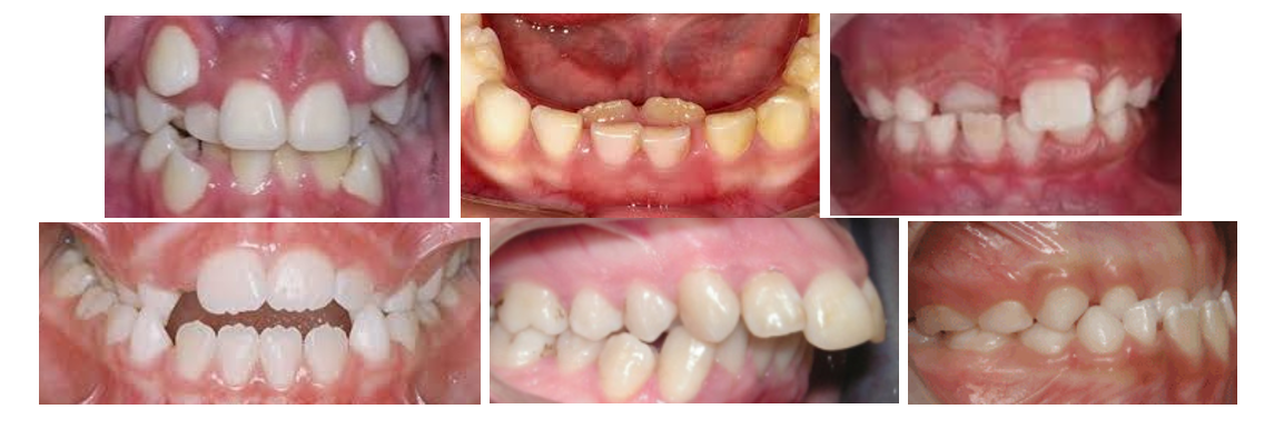
Children should see Dr. Lenk by the age of 7 years when permanent teeth are starting to erupt and well before jaw growth is complete. Most early evaluations do not result in the patients getting braces. If problems are caught early, Dr. Lenk can recommend limited care which can PREVENT much BIGGER PROBLEMS from developing (examples follow):

Dr. Lenk’s evaluations are FREE, but her diagnosis and recommendations can prove to be VALUABLE!

Lenk Orthodontics
Creating Award-Winning Smiles since 2008
www.Lenkbraces.com
540-966-3990

Connect With Us

Call Us Text Us