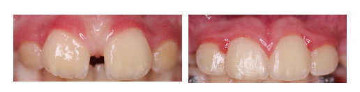
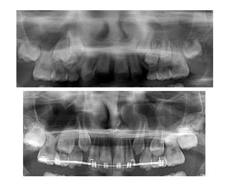
Lenk Orthodontics produces beautiful smiles. More importantly, the goal is to prevent problems before they happen…THIS IS A GREAT EXAMPLE…
EXCESS SPACING WAS NEGATIVELY IMPACTING THE DEVELOPMENT AND ERUPTION OF PERMANENT TEETH IN THE BONE…A LITTLE BIT OF EARLY CARE PREVENTED DAMAGE TO ROOTS, ECTOPIC ERUPTION, AND IMPACTION OF TEETH (IN SHORT, ALOT OF TIMELY AND EXPENSIVE TREATMENT AT THE AGE OF 13!!!)
This is one of many reasons people drive up to 2 hours to receive treatment from our award-winning office!
Lenk Orthodontics serving Botetourt County and Beyond: Botetourt Orthodontist, Daleville Orthodontist. Troutville Orthodontist. Fincastle Orthodontist. Hollins Orthodontist. Roanoke Orthodontist. Roanoke County Orthodontist. Vinton Orthodontist. Salem Orthodontist. Blue Ridge Orthodontist. Clifton Forge Orthodontist. Covington Orthodontist. New Castle Orthodontist. Smith Mountain Lake Orthodontist. Bedford Orthodontist. We even treat patients as far as North Carolina, West Virginia, Richmond, and VA Beach!!!



