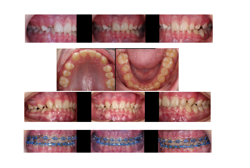
This patient was missing a tooth.
We could have taken the easy way out and opened the space so the patient could have the missing tooth replaced when he was 18Y
The family wanted us to close space and substitute teeth. This takes more time and is more difficult
AT LENK ORTHODONTICS WE WANT OUR PATIENTS TO BE HAPPY, SO WE WILL STAND ON OUR HEADS TO MAKE THEM SMILE (ANY WAY THEY LIKE)

NOW THIS PATIENT HAS ALL OF HIS OWN TEETH. HIS BRACES “REPLACED HIS MISSING TOOTH,” IMPROVED HIS BITE AND MADE HIS SMILE EVEN BETTER. HIS FAMILY SAVED AT LEAST $3000 OF EXTRA EXPENSES. AND THE PATIENT WILL ONLY HAVE A NIGHTTIME RETAINER AND NO FUTURE SURGERIES.
MAKING PARENT AND PATIENT HAPPY MAKES US HAPPY!!!
LEARN MORE ABOUT LENK ORTHO BY VISING OUR WEBSITE WWW.LENKBRACES.COM SEE WHY PEOPLE DRIVE TO WORK WITH US FROM BOTETOURT COUNTY AND BEYOND! (Patients range from Daleville, Troutville, Fincastle, New Castle, Blue Ridge, Bedford, Covington, Clifton Forge, Lexington, Vinton, Hollins, North Roanoke County, Roanoke, Salem, Bent Mountain, Smith Mountain Lake, North Carolina, VA Beach, West Virginia, Richmond)
