Congratulations to Dr. Misty Lenk and Lenk Orthodontics on being named the Gold Winner, Best Orthodontist by Roanoker Magazine! Q: Tell us about your business. A: Lenk Orthodontics provides …
THERE IS NO BETTER TIME of the YEAR TO VISIT LENK ORTHODONTICS Facts Early detection and prevention is a key to normal growth and development. Early detection of problems …
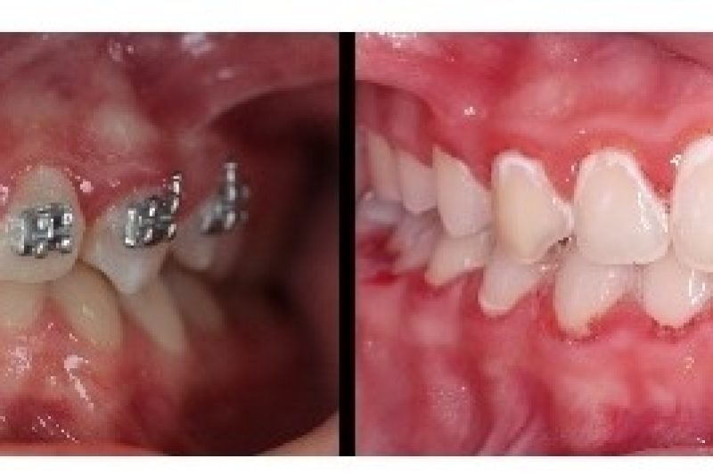
not a perfect finish, but a great example of how braces at Lenk Orthodontics serve to not only fix a bite, but to create… Posted by Misty Lenk on Thursday, …
It's wonderful how much you can straighten up teeth and a bite in just 18mo! Free exams….No referrals needed…Family-friendly fees and payment plans www.lenkbraces.com …. 540-966-3990 Posted by Misty …
We can fix a gap in one visit! Free exams… No referrals needed…Family-friendly fees and plans 540-966-3990 … wwwlenkbraces.com … lenkortho@gmail.com Posted by Lenk Orthodontics on Thursday, February 11, 2021
ANOTHER GREAT REASON TO SEE LENK ORTHODONTICS EARLY!!! Only provided limited care of upper teeth and jaw, BUT that limited care PREVENTED asymmetric growth of the lower jaw, prevented …
A great example of why we should see kiddo’s by the age of 7y for a Free Exam/Growth and Development check. We prevented dental wear, dental trauma, and gone/gum …