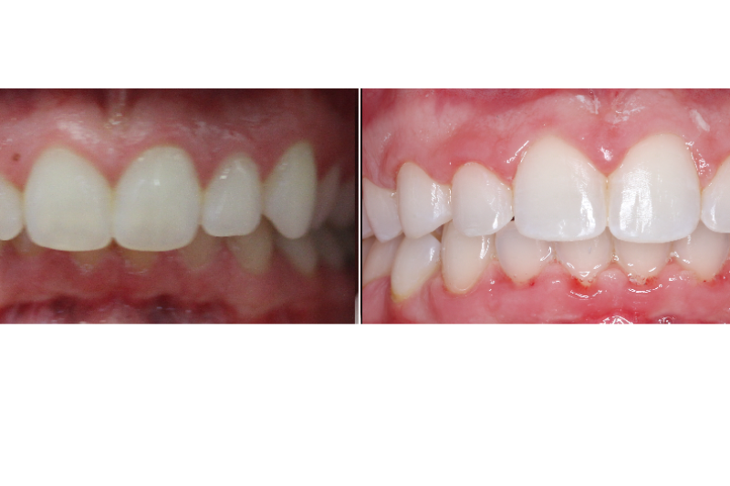
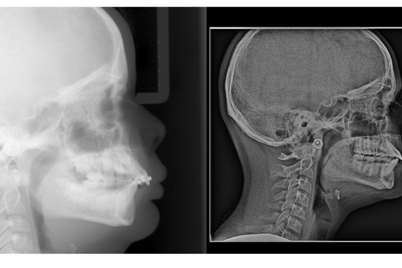
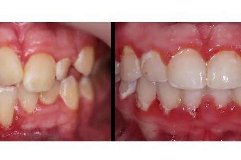
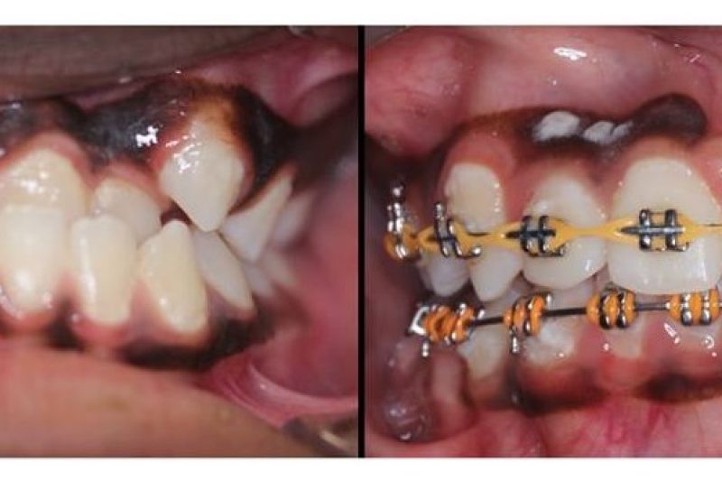
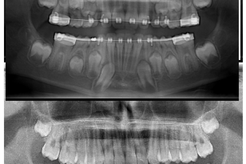
Been doing this for 19y, but I’m still amazed how my work can change a person’s look/life in just a year!
No referrals needed. Free Exams. Family-friendly fees and payment plans Open 5-days in same location: scheduling made easier! 540-966-3990 …lenkbraces.com…lenkortho@gmail.com










