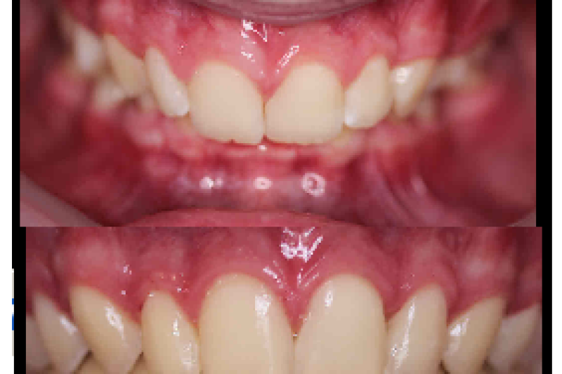
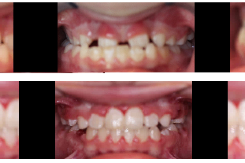
Beautiful Teeth During Adolescents!
Benefits of early care: no dental trauma and beautiful teeth during adolescents! Free exams…No referrals needed… Competitive fees and family-friendly payment plans… Work with all insurance companies… Early detection …










