Transforming Smiles and Lives: See what one appointment at Lenk Ortho can do! CHECK OUT THE RESULTS AFTER ONLY 6WK: THIS PICTURE WAS TAKEN ONE APPOINTMENT AFTER GETTING BRACES! …
Early, limited care here…These pictures are before and 2mo after braces! Contact us if your children have problems like this. A little early care can prevent alot of big …
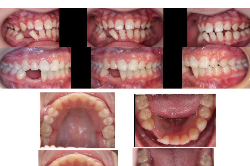
This patient was missing a tooth. We could have taken the easy way out and opened the space so the patient could have the missing tooth replaced when he …
Lenk Orthodontics produces beautiful smiles. More importantly, the goal is to prevent problems before they happen…THIS IS A GREAT EXAMPLE… EXCESS SPACING WAS NEGATIVELY IMPACTING THE DEVELOPMENT AND ERUPTION …
Lenk Ortho doesn’t just worry about straight teeth on a model: Dr. Lenk catches developmental problems early to prevent bigger problems that would require more extensive care down the …
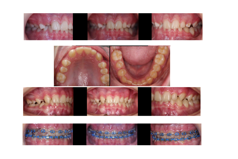
STABLE RESULTS IS A GOAL AND PASSION FOR THE TEAM AT LENK ORTHODONTICS…A blast from the past popped in today to show how braces at Lenk Orthodontics can be …